Phadke's Vitality Dental Clinic|Karve Nagar,Pune

Dr. Gautami Phadke | Dental Surgeon and Implant Specialist in Karve Nagar, Pune

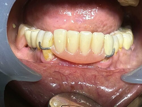
Dr. Gautami Phadke, Consultant Dental Surgeon and Root Canal Specialist in Karve Nagar, Pune, recently helped an elderly patient transition from weari...

Phadke's Vitality Dental Clinic|Karve Nagar,Pune

Smile Makeover by Dr. Gautami Phadke

Dr. Gautami Phadke, Consultant Dental Surgeon and Root Canal Specialist in Karve Nagar, Pune, recently transformed a patient’s smile by addressi...

Phadke's Vitality Dental Clinic|Karve Nagar,Pune

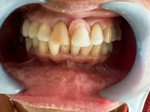
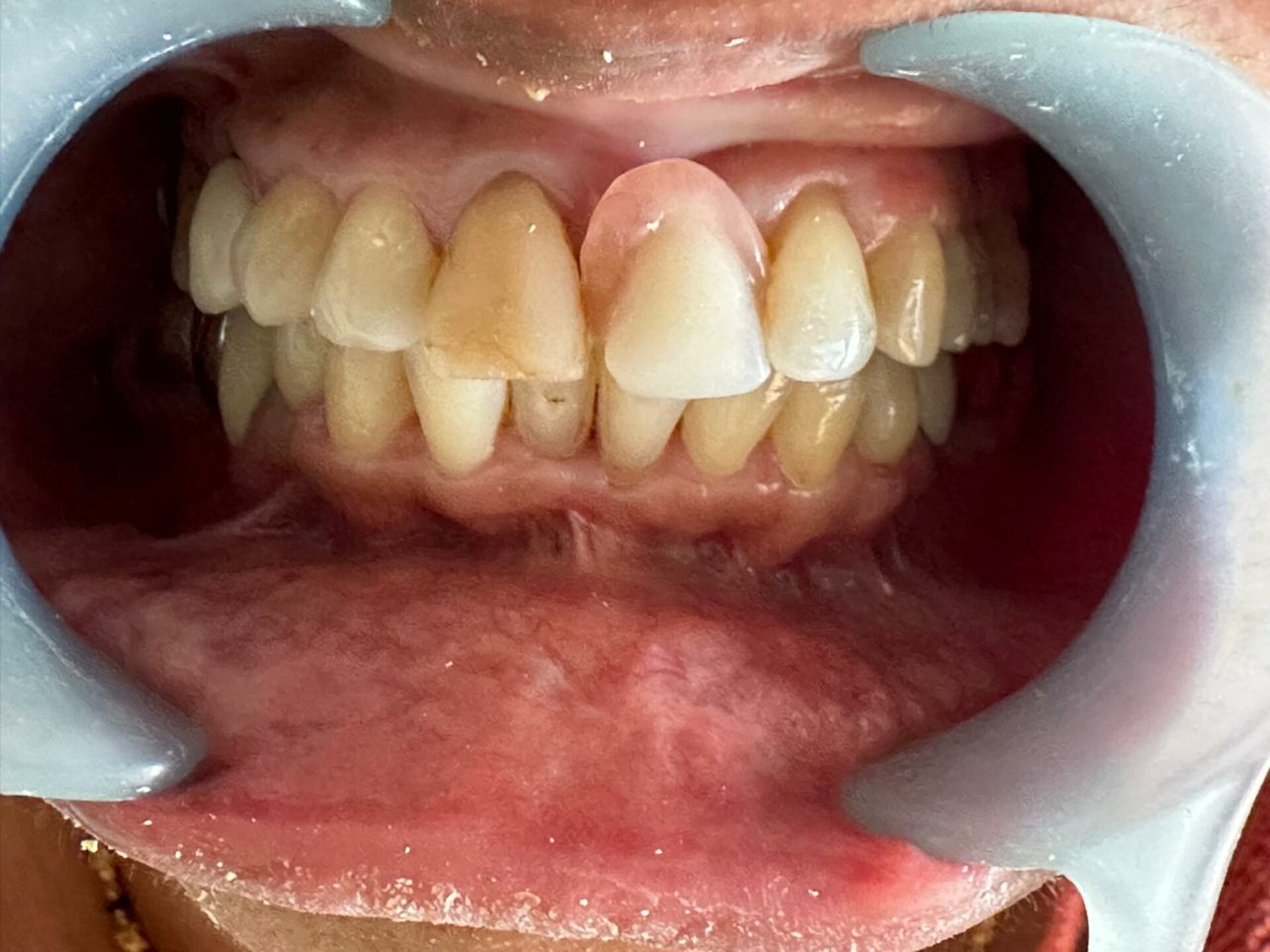
Root Canal & Aesthetic Restoration for Anterior Teeth | Dr. Gautami Phadke

Dr. Gautami Phadke, Consultant Dental Surgeon and Root Canal Specialist, successfully treated a case of decay in the anterior (front) teeth. The patie...

Phadke's Vitality Dental Clinic|Karve Nagar,Pune

Transform Your Smile with Dr. Gautami Phadke in Pune

Dr. Gautami Phadke, Consultant Dental Surgeon and Root Canal Specialist in Karve Nagar, Pune, recently transformed the smile of a 60-year-old patient ...

Phadke's Vitality Dental Clinic|Karve Nagar,Pune

Successful Root Canal Revision Performed by Dr. Gautami Phadke

At Phadke Dental Clinic, Dr. Gautami Phadke recently treated a patient suffering from severe pain due to a failed root canal procedure performed elsew...

?
Ask Question
AboutMyClinic
SmartSite created on AboutMyClinic.com
Site-Help | Disclaimer